Case Overview

This page presents a narrative overview of my case; a summary of the pages on this site.

Symptom Summary:

Neurological & Physical Symptoms:
- Chronic Postural Headaches: A constant, severe headache that worsens significantly upon sitting or standing. Laying supine provides some relief. Many of the presenting symptoms worsen correlative to this.
- Widespread Tremors: Fine tremors in the hands and feet (predominantly right-sided) and intermittent, uncontrollable gross motor tremors in the trunk and body.
- Motor & Gait Disturbance: A persistent, unsteady gait and loss of balance, heavily favouring the left side to compensate for right-sided weakness and instability.
- Ataxia: General clumsiness, ie. dropping objects, missing when attempting to grab objects, loss of dexterity in fingers, bumping into things, kicking things when walking.
- Neuropathic (Nerve) Pain: Widespread, chronic nerve pain, most severe in the back of neck, right hand, leg, and foot.
- Chronic Fatigue: I would describe it as “beyond fatigue”, a feeling of weighing 5 times more and every movement depletes substantially more energy that you already didn’t have. 

Sensory Disturbances (Ears & Eyes):
- Progressive right-sided hearing loss and muffled hearing, with intermittent periods of temporary increase of severity.
- Constant, high-pitched tinnitus (ringing in the ears), predominantly right-sided. - which increases in pitch coinciding with worsening of other symptoms.
- "Popping" and "sloshing" sounds inside the head*, consistent with pneumocephalus (air in the skull). *occurs across the scope of the skull vault; it is not related to facial and sinus areas.
- Intermittent blurred vision and visual disturbances, predominantly in the right eye.
- Progressive worsening of eyesight, it is becoming difficult to see finer details and small writing. 

Musculoskeletal Issues:
- Severe, chronic neck pain and stiffness.
- Intense TMJ (jaw) tightness and pain.
- Nocturnal muscle spasticity, especially in the right leg and foot.

Cognitive & Psychological Symptoms:
- Severe Cognitive Fatigue: A state of profound mental exhaustion, where any cognitive effort (like a conversation) is depleting.
- Executive Dysfunction ("Forced Introversion"): A complete neurological "shutdown" when overloaded, resulting in:
Expressive Aphasia: The inability to find or produce words, even when the thought is clear.
Abulia: A profound loss of willpower and the inability to initiate tasks.
- Memory & Processing Deficits: Significant short-term memory loss, difficulty following conversations, and a feeling of "hearing but not processing" information.
- Emotional Dysregulation 

Autonomic Symptoms:
- Anhidrosis: A severely diminished ability to sweat with an increased sweat threshold, even during intense heat or exertion.
- Temperature Dysregulation: Extreme sensitivity to heat and an inability to cool the body down, leading to rapid overheating. Overheating causes all symptoms to worsen severely, and can be caused by virtually anything at this point (sitting on the couch, cooking dinner, being in a room with a heater on). I am constantly required to keep myself cooled as even slight increases in temperature begin this shift if not managed, and my body has no way to efficiently cool itself due to Anhidrosis.


Brief Case Description:

AGE: 33 GENDER: MALE CURRENT DX: ADHD, OCD.
SMOKING STATUS: EX-SMOKER. VAPES / IS IN PROCESS OF QUITTING.
DRINKING STATUS: APPROX 2 GLASSES WINE MOST DAYS.
DRUG USE: NONE / PREVIOUSLY HAS (5+ YEARS AGO)
MEDICATIONS: VYVANSE (50MG, ONCE DAILY), DEXAMFETAMINE (5MG, TWICE DAILY IN AFTERNOON/ TAKEN AS NEEDED), SERTALINE (200MG, ONCE DAILY).


Introduction:

Recent photos of my head (taken 11/11/2025):

** Key note: My eyes have yellow bruising around them + bruising on the eyelids

(specific to this photo)
GREEN
: Edge of indented area.
PINK: Hesmoderin staining.
YELLOW: White mass tissue visible through skin Areas with this are variably raised. - Most like collagenous or other fibrous tissue based on clear/white colouring, as well as signaling hypointense/very dark on MRIs denoting dense tissue with little free water movement.

Clear/white mass visible extending under skin above/around ear. Is variably raised.

Skull Destruction:

Corresponding MRI slices (JULY 2025):

JULY 2025:


VISIBLE SUNKEN DEFECTS ON SKULL(“SOFT SPOTS”):

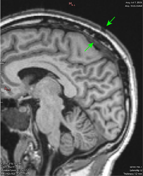
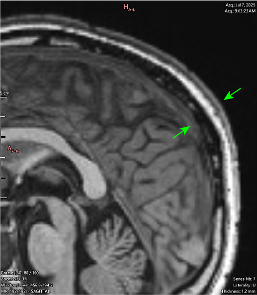
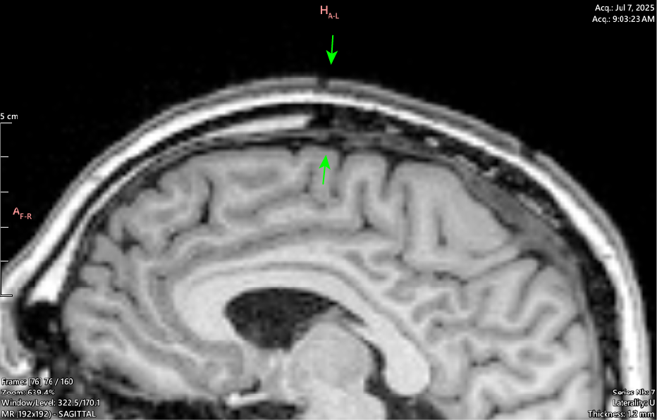
T1 Sagittal

The same slice shown above (right), with a wider window setting to better demonstrate what is actively happening in this area.
There is hypointense soft tissue signal throughout the areas of skull destruction, including in the cortical layer of the skull (black signal out table of the bone). This demonstrates an active pathological process of osteolysis occurring, in which the bone is destroyed and replaced by this tissue.


More skull destruction MRIs:

More photo evidence:

OCT 2024:

Bone Destruction (MRIs)

(To Be Added)

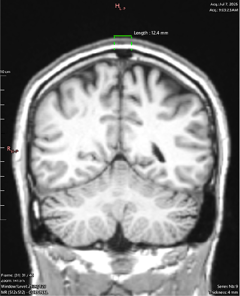
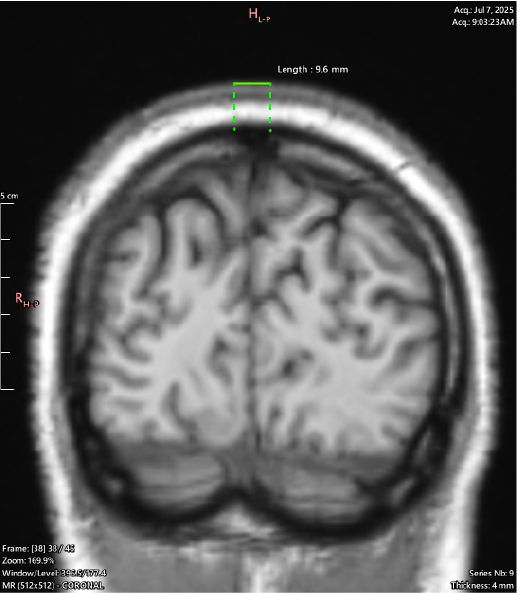
<- (Length 12.4mm)

T1 Coronal

Coronal view shows this is happening along the Sagittal Suture - cranial sutures should return a uniform signal void (black) across all sequences as they are dense structures with little to no free water movement.
It can be seen throughout the JULY 2025 MRI series that a majority of the cranial sutures are instead filled with variable hypointense signaling describing dense, fibrous tissue.
By the age of 33 the cranial sutures should be almost - if not entirely - fused, showing as a thin (approx. 2mm) black zig-zag along their respective paths, if showing at all.
My Sagittal Suture in these images shows as 12.4mm wide at the outside margin, clearly showing atypical imaging presentation, indicating an underlying process occurring.

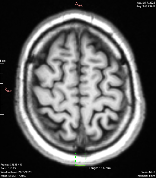
T1 Axial

Again showing a 12.4mm outside margin for the Sagittal suture. This slice shows both cranial sutures (Sagittal + Coronal) are displaying the same hypointense tissue signal along the entirety of their visible length.
It also demonstrates that this osteolytic process is not confined to the sutures along, and has spread to the surrounding bone including the cortical layer (black rim around the white signaling marrow).
The fibrous tissue entity is also shown as invading the subcutaneous fat layer (white around the cortical bone), and the skin.

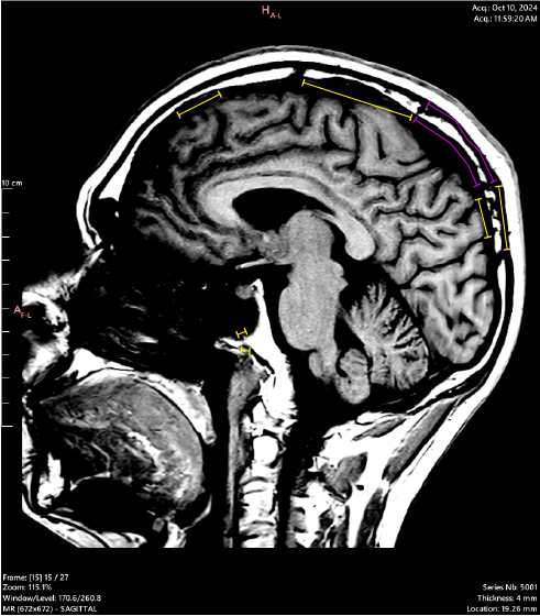
^ (Length 12.4mm) ^


< - (Length 9.6mm)

< - (Length 9.6mm)


These are corresponding slices from 2 MRI series performed in OCT 2024 (left) and JULY 2025 (right). They show progressive, pathological boney change and osteolysis (bone destruction) over the 9 months between imaging. The yellow (OCT) and green (JULY) lines highlight visible and active bone destruction.

The pink is a significant region of interest as it shows not only the destruction of bone, but a “caving-in” change in the bone shape; Interestingly, this change is physically visible on the scalp as depicted below.


Same area shown in the above MRIs; there is no tangible bone when pressing on it, and it elicits an immensely uncomfortable feeling, as well as sensory sensations in other areas of the head.

There are multiple “soft spots” like this across my head - some are more easily visible in photographs, though all can be pressed like such to a similar but varying physical/sensory response.

Soft Tissue Edema,
& Lymph Node Involvement:

Photos demonstrating the hyper-elasticity of the skin in these areas.

In March 2025 I shaved my beard off due to a worsening stiff neck, and a feeling of tightness on the right side. There was visible swelling along this side of the neck (front + back), as well as firm spots. My GP manually inspected them, confirmed they were swollen lymph nodes, and referred for an ultrasound. Later that day the back of my neck began hurting incredibly, and my body started to swell with lymphatic draining; initially the neck, and then progressing to chest, abdomen, arms, + legs, + predominantly right sided. The lymph nodes in my armpits, as well as groin, and behind the knees swelled as a result.

Since then I have had progressively worse daily lymphedema in my face and neck, requiring manual massage to stimulate drainage. It is worst after waking up. The ultrasound report returned as negative for pathology, which I will discuss further down.

Photos taken over the period since then, taken on a lean/on my side to illustrate the fluid movement and pooling at the lowest point.

CSF Leaks,
& Intracranial Hemorrhage:

Photos taken over the last 6+ months of tissue used to plug nostril during almost daily intense nosebleeds, showing clear principles of the “Halo Sign”. Nosebleeds coincide with severe headaches and burning sensations, and “flowing” warmth locally.

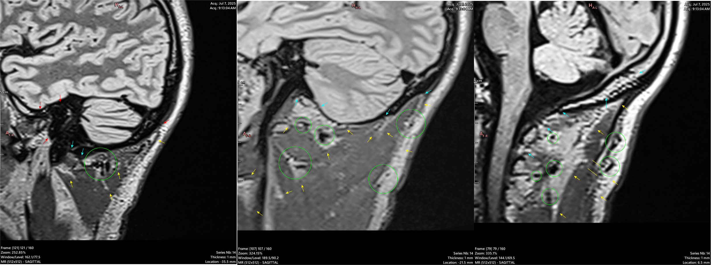
RED: Invasion of the Temporal Artery and External Carotid. Red arrow in first image at the posterior should be light blue
LIGHT BLUE: Probably CSF leak sites.
YELLOW: Subcutaneous fluid, most probably a mixture of CSF, inflammatory cells, and blood products.
GREEN: Lymph nodes.

RED: Invasion of the Temporal Artery.
DARK BLUE: Extracranial soft tissue extension.
YELLOW: Subcutaneous fluid, most probably a mixture of CSF, inflammatory cells, and blood products.
GREEN: Main body of mass.

RED: Invasion of the Superior Sagittal Sinus.
LIGHT BLUE: Dermal Invasion.

Bone destruction and invasion of the brain parenchyma are visible locally around the SSS, as well as through the image.

RED: Invasion of the Right Inferior Cerebellar Artery. The first image shows encasement of the Artery, while the others show extension into the channel.

RED: Left of the Right Inferior Cerebellar Artery. The second image shows encasement of the Artery, while the others show extension into the channel.

Still image from a video showing subcutaneous flow + pooling of liquid.

RED: Destructive mass.
DARK BLUE: Flow of liquid.
YELLOW: Oral Fistula - A piece of this tooth broke off a few months ago and now fluid leaks from a hole there as well.
GREEN: Oral Fistula.

** Note for me: Organise this into whatever it is Trent **

OCT 2024 - CERVICAL SCOLIOSIS

OCT 24 coronal scans stop right after this so stop trying to figure out why your scroll isn’t working you god damned moron.
JULY25 coronal scans show less of the cervical spine so can’t reasonably determine as well. Re-check, but pretty it was only a couple of vertebrae visible.

Blood from ears (both). Often find dried blood + dried clear crystals (?right word? google words for whatever that is)/

Make this sound coherent: Before finding a suitable * very * light compression garment that did not cause overheating (runners skull cap), I used kinesiology tape (designed to stretch similar to skin) to help reduce soft-tissue edema. This is hesmoderin staining on some of those (from a few months ago +) which appeared over the course of a few days each.
Note: * The purple is black because of the way light refracts from purple mixed with the iron-rich hesmoderin stains ie. based on their colouring meshed with dark purple. *
Note: * take photos of more recent ones as they show a lot more*.